Learn about itchy skin here.
What you see on the surface of the skin is often only secondary to an underlying condition.
Allergies are the most common underlying cause and can be due to food, pollens, grasses and a condition called atopy. Hormonal conditions can also cause changes in the skin and so to ensure treatment success, it’s critical to speak to your vet about your pets skin. Your vet will most likely recommend some further testing to help identify if there is anything underlying going on and then what the best treatment for this is.
What causes itchy skin?
Seasonal and Environmental Causes
Spring Allergies / winter dryness, sensitivity to grasses or fibres
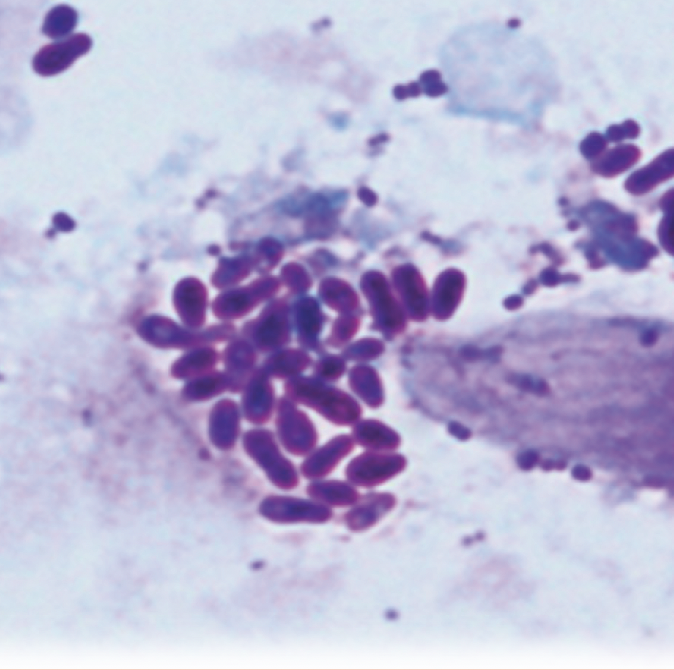
Infection - Bacterial and/or Yeast
Some dogs are allergic to ingredients commonly found in pet food; like meat, dairy or wheat. Removing the food and starting on a low allergen diet or supplements can help.
Nutritional Allergies
Neurogenic
Have you checked for Fleas? Fleas cause itching and biting and sometimes lasting sensitivities called flea allergy dermatitis. Ticks and mites can also cause itching, so check your dogs coat thoroughly for any signs.
Parasitic
Normal skin can be dry, red, itchy and inflamed.
Itchy pet, scratching / biting
Infected skin can show hotspots, pimples, crust, hair loss and can be greasy and/or smelly.
Hotspots
Pimples
Scaling and crusting - Malassezia Dermatitis
Malassezia Dermatitis
Deep pyoderma (caused by the overgrowth of normal commensal bacteria) secondary to actinic damage (itching)
Talk to clinic staff if you have any concerns about your pets skin condition.